ペプチドによる子宮内膜症における根治治療法の特許を取得〜ウィメンズヘルス領域でのセルペップ技術の活用を目指して〜
子宮内膜症に対する治療手段として、ペプチドの力で異常増殖細胞だけを酸欠状態に陥れて完全に消滅させる技術(セルペップ技術)で、大切な子宮を傷つけることも、女性ホルモン抑制による副作用に苦しむこともなく子宮内膜症を治療する可能性を見出し、株式会社セルペップでは4つ目となる特許を取得いたしました。
京都府立医科大学発スタートアップ企業の株式会社セルペップ(本社:京都市左京区、代表取締役:安田 佳子 以下、弊社)は、ペプチド(EMP9)によって異常増殖細胞の生存と成長を止めるセルペップ技術による子宮内膜症治療法に関する特許を、国内にて取得しましたのでお知らせいたします。
【特許番号】特許第5867949号
【発明の名称】女性ホルモン依存性増殖性疾患治療・改善剤
【特許権者】株式会社セルペップ
【特許出願日】2015年7月22日
現在、子宮内膜症に対する治療手段として、外科的な切除もしくはホルモン製剤(GnRHアルゴニスト、アロマターゼ阻害剤、エストロゲン製剤など)による治療が施されています。しかし、摘出手術では妊娠の可能性がある若い女性の未来を奪い、ホルモン製剤治療では一時的な症状の軽減はされるものの、骨粗鬆症などの副作用のために長期使用できないなどの問題を抱えています。
当社の持つペプチドの力で異常増殖細胞だけを酸欠状態に陥れて完全に消滅させる技術(セルペップ技術)では、大切な子宮を傷つけることも、女性ホルモン抑制による副作用に苦しむこともなく子宮内膜症を治療する可能性を見出し、弊社では4つ目となる特許を取得いたしました。
■セルペップ技術とは
・ 異常増殖細胞をペプチドの作用で酸欠状態にして死滅させる根治治療技術
・ ほぼすべての異常増殖細胞に共通する生存活動を遮断するため異常増殖性疾患(リウマチ・ケロイド・子宮筋腫・前立腺肥大)の種類に関わらず有効
・ 動物実験では10種の悪性細胞および異常増殖細胞の消滅を確認済み
・ 正常細胞への影響が非常に低く安全性が高い
■子宮内膜症について
子宮内膜またはその周辺部位に発生し、女性ホルモン(エストロゲン)の刺激を受けて増殖する疾患。 子宮内膜症の大部分は骨盤内に発生し、その病変部は月経時に、子宮内膜と同じようにはがれて出血。卵巣内で増殖すると、卵巣にチョコレート状になった古い血液がたまることで大きく膨れ、いわゆるチョコレート嚢胞(のうほう)を形成。
子宮内膜症は生殖年齢にある女性の10〜15%に存在するといわれ、近年は発症数が増加傾向にある。背景としては、腹腔鏡検査が進むことでの診断能力向上による発見数増加と、初婚年齢・初産年齢の上昇による、出産回数の減少などが指摘されている。
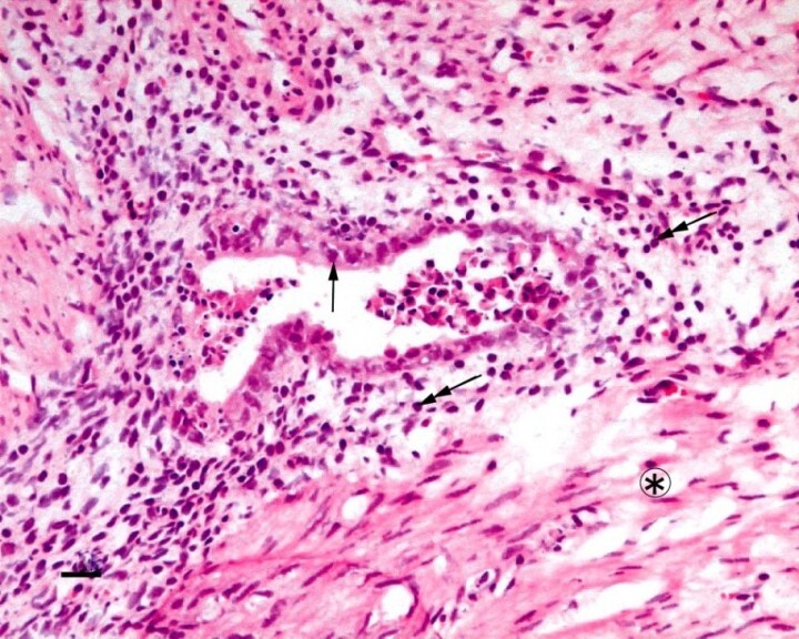
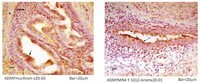
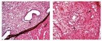
【病巣治癒の実績】
<1.2.3:子宮内膜症患者の病巣を取出し実験|4.5.6:ヌードマウスに子宮内膜症の病巣を移植し実験>
1.病巣治癒の実績①H・E染色
<EMP9注入前後でのH・E染色の変化>
矢印:腺上皮/二重矢印:間質細胞/*印:平滑筋線維
無処理
EMP9注入後
2.病巣治癒の実績②アロマターゼ
<EMP9注入前後でのアロマターゼ発現量の変化>
矢印:腺上皮/二重矢印:間質細胞/*印:平滑筋線維
無処理(左)EMP9注入後(右)
3.病巣治癒の実績③増殖細胞核抗原(PCNA)陽性核
<EMP9注入前後でのPCNA陽性核の変化>
矢印:腺上皮/二重矢印:間質細胞/+印:崩壊上皮
無処理(左)EMP9注入後(右)
4.病巣治癒の実績④腺筋腫の壊死
<EMP9注入と対照群での腺筋腫細胞(白い部分)の変化>
生食水注入(左)EMP9注入後(右)
5.病巣治癒の実績⑤腺体の崩壊
<EMP9注入前後での腺筋腫の腺体の変化>
矢印:腺体/二重矢印:平滑筋/a: 無処置/c: EMP9 、2.25mg(IT)
無処理(左)EMP9注入後(右)
6.病巣治癒の実績⑥微小血管網の破壊
<EMP9注入と対照群での血管内皮細胞死による微小血管網の破壊>
対照群(左)EMP9注入後(右)
病巣がある卵巣・子宮・子宮頚部の組織にEpo(エリスロポエチン)とEpoR(エリスロポエチン受容体)が発現している事実を2001年に代表の安田が発見して以来、さまざまな悪性細胞および異常増殖細胞への有効性を研究および証明してきました。その背景の中、セルペップでは、子宮内膜症に対する根本的な根治治療法がない現状において、全世界の潜在患者数が数千万人と言われている子宮内膜症や腺筋症のウィメンズヘルス領域でのセルペップ技術の活用を目指していきます。
【株式会社セルペップ代表取締役 安田 佳子の経歴】
1938年生まれ。京都大学大学院医学研究科博士課程(生理系専攻) 終了。京都大学医学部助手を経て、近畿大学医学部助教授、関西医科大学、滋賀医科大学、京都大学等で非常勤講師を務めた後に近畿大学医学部教授に就任。現在は、京都府立医科大学産学公連携講座がん征圧センター特任教授。
<関連リンク>
株式会社セルペップ:http://www.cellpep.co.jp
添付画像・資料
添付画像をまとめてダウンロード
企業情報
| 企業名 | 株式会社セルペップ |
|---|---|
| 代表者名 | 安田 佳子 |
| 業種 | 医療・健康 |






